歯並び 綺麗 レントゲン
歯科用3d 3次元的 Ctパノラマレントゲン 横浜市旭区の歯医者 白根通りの歯科医院 丁寧で安心な治療のわかば歯科 歯周病とインプラント
Q Tbn 3aand9gctlja9pnwoa1jrmudaga77bjhcc2lixc Jvouextsd5s33rwftb Usqp Cau
美しい歯並びを持つアフリカ人女性のレントゲン分析 Komura Blog
歯並び 綺麗 レントゲン のギャラリー
歯列矯正で親知らずの抜歯の必要性と抜かないメリットとは
癒合歯 中央区日本橋 メープル矯正歯科 院長ブログ 歯並び矯正のホンネ
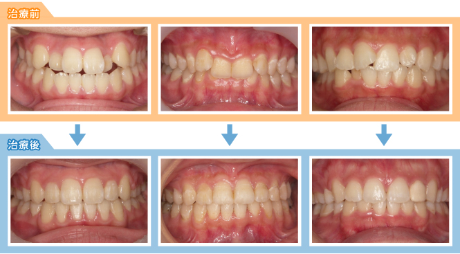
矯正歯科 しみず歯科
矯正治療で撮影する全体のレントゲン 千葉市の歯医者 歯 と 口 のはなし 千葉県千葉市の原田歯科クリニック
呉市で矯正歯科治療なら ふかみスマイル歯科
歯科人間ドック 天王寺 阿倍野区の歯医者なら 小室歯科 近鉄あべのハルカス診療所
お子さんの歯の数 足りていますか 新浦安の歯科 歯医者 新浦安ブライト歯科 ブログ
無症状で進む歯周病の悪化 ネット予約可 静岡市の歯医者は小嶋デンタルクリニック
イモトアヤコの八重歯がガタガタで虫歯だらけで神経ない歯が多い事実 珍獣ハンターの歯並び Naver まとめ
歯並びを変えて未来を変える 枚方の歯医者 本多歯科
お子さんの歯の治療 小児歯科なら本郷三丁目の歯医者 本郷四丁目歯科へ
セファロレントゲンについて 矯正 医療法人社団 健弘会 せんげん台くすのき通り歯科
Q Tbn 3aand9gcqhtnnjapq 672hehmn2eaxezyozkrqmadkm6pwhsnes5zcgazy Usqp Cau
上顎前歯部に埋伏過剰歯を認めた叢生症例 カトウ矯正歯科
矯正治療 三鷹市の歯科 ねま歯科クリニック 三鷹駅近くの歯科医院です
歯並びが良いかどうかは早い段階でわかります Komura Blog
14年9月 7日 14年9月13日 佐藤歯科 矯正歯科医院 医院ブログ
乳歯から永久歯への交換期 ネット予約可 静岡市の歯医者は小嶋デンタルクリニック
須貝歯科医院の特長
たなはし歯科 矯正歯科医院 岐阜市 矯正治療について 一般歯科 矯正治療 たなはし歯科矯正歯科医院 岐阜市長良
北上尾歯科2階に新しいレントゲン セファロx線撮影装置 が入りました 上尾の歯科 北上尾歯科院長ブログ
刈谷市の歯医者 きぼう歯科クリニックの症例集です
インプラント実例掲載 良く目立つ歯なので見た目が自然な歯を希望してます 医療法人赤坂会
東近江 近江八幡 彦根 矯正歯科 小児歯科 佐々木歯科医院 最近の治療例 小学生から始める子供の矯正治療 最近の治療例 4例
矯正の検査について オフィシャルブログ
症例 親知らずの抜歯を行った叢生と開咬の治療例 コラム 公式 K Braces矯正歯科原宿駅前
成長期の矯正について 歯の豆知識 四街道市 あさひクリニック歯科 矯正歯科
純 矯正 歯科クリニック
歯周病の怖さを実感できる画像 日本人の8割が歯周病で歯を失う Naver まとめ
4942 19歳女性 前歯の隙間 矮小歯 先天欠如 コンポジットレジン充填で回復 静岡市葵区の歯医者 みまつ渡辺歯科医院 静岡の総合歯科です
健康な歯を守りながら奥歯の痛みをとりたい こうづま歯科医院 ローズ歯科医院
へきほー Hc Tc 顎関節症のためレントゲン撮りました ピアスがはっきり映ってる
歯列矯正で横顔美人になれる 歯並びとeラインの関係とは 矯正歯科ネット
全顎的な治療 銀歯を綺麗に 義歯をインプラントに こうづま歯科医院 ローズ歯科医院
小児矯正治療のメリット 福岡市の小児歯科 矯正歯科 障害者歯科 ふたつき子ども歯科 院長日記
グラグラな歯 進行した歯周病 抜かずに治せる Part2 健造デンタルクリニック
11年8月28日 11年9月 3日 横浜駅西口 徒歩4分 横浜フォルテ矯正歯科 院長ブログ
矯正歯科 セントマークス歯科
歯科で使用されるレントゲンの種類 放射線量大丈夫 大阪市中央区の歯医者 あい歯科 長堀橋駅徒歩2分 心斎橋駅徒歩6分
小学3年生の次女が歯科矯正をしようとしたら 先に上唇小帯手術が必要だった話 Vol 1 小学生の歯科矯正
これは貴重 山田孝之が歯のレントゲン写真を公開 キュンとする の声も 耳マン
レントゲン 8歳 歯科高解像度症例写真集 歯科求人でんたろう
矯正治療 小児 中崎歯科医院 宮崎県児湯郡高鍋町
無症状で進む歯周病の悪化 ネット予約可 静岡市の歯医者は小嶋デンタルクリニック
歯並びが悪いとどんな影響がありますか
歯のレントゲン Instagram Posts Gramho Com
歯周病治療 予約可 公式 赤坂の歯医者 赤坂デンタルオフィス 土日診療
いくつあてはまる 見た目ではわかりづらい歯周病 あなたの口の中は大丈夫ですか 健造デンタルクリニック
お知らせ 品川区大崎の歯医者なら Bスマイル歯科 矯正歯科
マウスピース矯正装置 インビザライン 体験 マウスピース装着までの流れ 大宮駅2分 大宮shin矯正歯科
2 検査 茶野矯正歯科クリニック ブログ
全体に治したい
初診の方へ 福岡県糟屋郡粕屋町の歯医者ならおがたファミリー歯科
重度 歯周病グラグラ危険 触ると抜ける 型取りすら出来ない Part2 治療実績集 歯周病技術 大阪の歯科クリニック Mdental Studio
初めての方へ 南柏駅から徒歩すぐ 南柏かんだ矯正歯科
大人の矯正治療 江戸川区一之江の歯並び専門 ステラ矯正歯科
Q Tbn 3aand9gcrdzyurraxdfr3hqs Rypyvjx Abgvjkpa40drhxixbzijfdstw Usqp Cau
できるだけ歯の神経を抜かずに治療したセラミックによる審美歯科 審美歯科は梅田の歯科医院 ナチュラルクリニック大阪 メタルフリー審美歯科 大阪 梅田 と歯を残す歯科根管治療
宮井歯科医院 Case 1 受け口 成人
叢生と口元の前突を伴う上下顎前突に対する抜歯矯正治療 福岡天神矯正歯科
治療の流れ 無料カウンセリング 千葉県柏市で歯列矯正なら柏kt矯正歯科
横浜駅西口 徒歩4分 横浜フォルテ矯正歯科 院長ブログ 11年8月
症例 横浜 横浜市 神奈川 の矯正 小児矯正 子供 なら横浜フォルテ矯正歯科 こどもの歯列矯正ガイド
美しい歯並びを持つアフリカ人女性のレントゲン分析 Komura Blog
八重歯を抜かないで 八重歯の治療について お知らせ ブログ 江戸川区一之江の歯並び専門のステラ矯正歯科
親知らず症例 レントゲン解説 親知らず相談室 新潟県新発田市の歯医者さん
診療案内 矯正歯科 ナガオカデンタルクリニック 静岡県 伊豆 長岡 順天堂伊豆静岡病院立体駐車場前の歯科医院です
セファロレントゲンについて 矯正 医療法人社団 健弘会 せんげん台くすのき通り歯科
医療法人明歯会みなみ歯科医院 虫歯治療 歯周病 インプラント 沖縄県南風原町
矯正治療の流れ 無料カウンセリング 無料矯正相談 武蔵小山kt矯正歯科
宮井歯科医院 Case 1 受け口 成人
矯正治療 等々力 深沢の歯医者 歯科ならソフィア歯科医院
セファロ分析について
グラグラな歯 進行した歯周病 抜かずに治せる Part2 健造デンタルクリニック
口腔外科治療 埋伏歯 親知らず 抜歯 インプラント治療 わたなべ歯科医院
つよさんぽ 19 12 2 歯列矯正日記 ワイヤー調整 レントゲン 型取り Powered By Line
生まれつき歯が足りない部分を歯列矯正で詰める 横浜駅西口 徒歩4分 横浜フォルテ矯正歯科 院長ブログ
Ct アルト歯科 奏の杜 津田沼駅南口の歯医者 ct完備
矯正歯科 糀谷 大田区 歯医者なら糀谷駅徒歩2分の痛くない歯科 川名部歯科医院
審美歯科 沼津市の歯医者 歯科 塚本歯科クリニック 歯周病認定医
スタッフの歯列矯正ブログ 目指せ 口元美人 矯正歯科 歯並び 江南市すぎもと歯科 笑顔のための矯正治療専門サイト
プレオルソ 正しい歯並び かみ合わせを手に入れましょう
矯正治療日記 南千住の矯正歯科 南千住小児歯科矯正歯科 土日診療 南千住の矯正歯科専門医院 南千住小児歯科矯正歯科
東近江 近江八幡 彦根 矯正歯科 小児歯科 佐々木歯科医院 最近の治療例 小学生から始める子供の矯正治療 最近の治療例 4例
親知らずを抜かなくてもいい場合はありますか
大人の歯列矯正 アラサーの大事な4年を捧げた歯並び改善の その後 ローリエプレス
矯正歯科 歯列矯正で美しい歯並びと笑顔を手に入れる
歯並び アーカイブ 横浜 歯医者 歯科 村田歯科医院 横浜駅徒歩1分
オールオン4のメリット デメリット 吉岡歯科医院 愛知県名古屋市中川区の歯医者
親知らず おやしらず いつ抜くか 抜歯 痛み 抜かないリスク 香川 高松 親不知
かみ合わせ 歯並びではない 香川県高松市吉本歯科医院
Q Tbn 3aand9gcqx Dft3wl0covpt0j6ydiv2xsembbhokmd9zxfpuzgybnvhj Usqp Cau
親知らず症例 レントゲン解説 親知らず相談室 新潟県新発田市の歯医者さん
第2回 インビザライン矯正治療の準備 安田歯科 矯正歯科医院
歯科矯正のメリットとは いつまで受けられる 歯や歯医者さん基本のき Vol 7 Mylohas
表参道駅徒歩3分カットカラー縮毛矯正が上手なヘアサロンijk Omotesando アイジェーケー 歯並びがコンプレックスの美容師の歯 列矯正通院記録vol 2 検査結果報告編
矯正歯科 流山おおたかの森の歯医者 ひがしデンタルクリニック
刈谷市の歯医者 きぼう歯科クリニックの症例集です
矯正治療日記 南千住の矯正歯科 南千住小児歯科矯正歯科 土日診療 南千住の矯正歯科専門医院 南千住小児歯科矯正歯科
矯正歯科 有支会歯科
娘の矯正ブログ


